小児矯正
小児矯正では主に顎の骨にアプローチします

デコボコや受け口、出っ歯、開口、深いかみ合わせなど様々な問題は顎の骨のバランスの問題です。顎の骨の成長を誘導・抑制することができる年齢は限られています。
ぜひ一度早めにご来院ください。
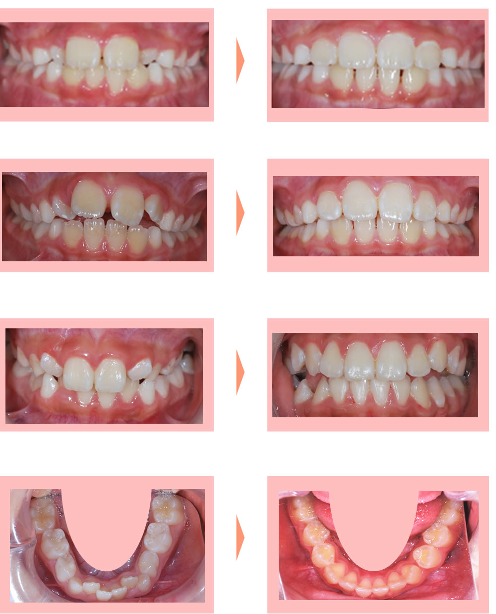
治療のイメージ
あごの骨を広げることでスペースを作り、デコボコだった歯が綺麗に並びます。
あごの骨の広げ方は様々。患者様の状態に合わせて広げる方法が変わってきます。
以下のイラストは顎の骨を横に広げたイメージの例です。

どんな装置を使うの?

患者様の状態に合わせた装置を使います。基本的に取り外しのできる装置を使用します。
何歳くらいに相談に行ったら良いの?
6歳から12歳前後の歯の生え変わりの時期は小児矯正で一番効果があるタイミングです。
しかし、おしゃぶりや舌の癖などは6歳以前に治療を開始します。
タイミングをしっかりと見極めるためにもお気づきの時に一度ご来院ください。
経過観察って?
当院では治療に最適なタイミングで治療を開始します。
まだ問題が無い場合や最適なタイミングではない場合は「経過観察」といって治療をせず様子をみる期間を設けております。
この期間も定期的にご来院いただき、タイミングを逃さないことが重要です。
小児矯正症例
取り外し式の装置で綺麗になりました!





